
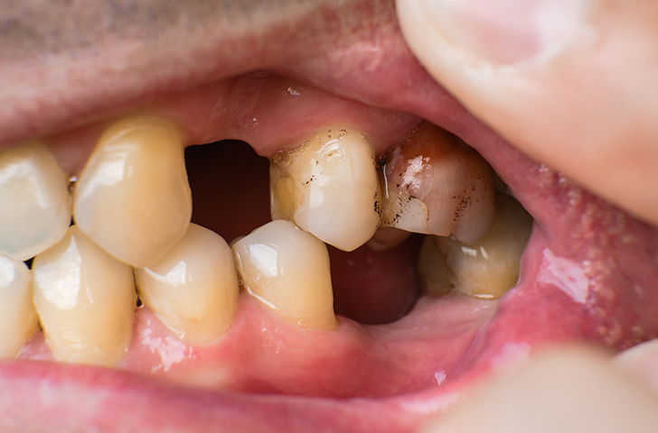
歯がボロボロになってしまってお困りの方へ
「歯医者に行くのが怖くて歯がボロボロになってしまった」
「むし歯だらけで歯医者に行く勇気がない」
「むし歯だらけで歯医者に行く勇気がない」
そんな悩みを抱えたまま、埼玉で歯医者を探していませんか?実は、歯がボロボロの状態で来院される方は決して珍しくありません。歯が全体的にボロボロになると、「もう手の施しようがないだろう」とあきらめてしまっている方もいるかもしれませんが、今では歯科医療技術も発達し、あらゆる治療法を駆使して短期間で見た目をきれいに、しっかり噛めるようにすることも可能です。
お口の状態が変われば、人生も大きく変わります。
一人で悩みを抱えている方も大丈夫です。埼玉でお困りの方はぜひお気軽に私たちにご相談下さい。
歯がボロボロでお困りの方々が、当院には全国から新幹線や飛行機で通院されております。
ご遠方の方も、来院可能なスケジュールに合わせて対応しておりますのでお気軽にご相談ください。
一人で悩みを抱えている方も大丈夫です。埼玉でお困りの方はぜひお気軽に私たちにご相談下さい。
歯がボロボロでお困りの方々が、当院には全国から新幹線や飛行機で通院されております。
ご遠方の方も、来院可能なスケジュールに合わせて対応しておりますのでお気軽にご相談ください。
こんなお悩みはありませんか?
- むし歯で歯が全体的にボロボロになっている
- 歯が全体的にぐらぐらしている
- 歯の治療が怖くて仕方がない
- ボロボロな歯を見せるのが恥ずかしい
- 物が噛めなくて困っている
- 治療費がいくらかかるのかが心配
- 忙しく、治療にそんなに時間をかけられない
このようなお悩みをお持ちの方でも大丈夫です。
当院では様々な治療の選択肢から患者さまお一人おひとりに最適な治療法を見つけ、お悩み解決につなげていきます。
当院では様々な治療の選択肢から患者さまお一人おひとりに最適な治療法を見つけ、お悩み解決につなげていきます。
歯がボロボロなのを放置すると起こってくる6つのこと

歯がボロボロになっている状態では、「見た目の問題」「ものが食べづらい」といった問題が起こりますが、それを放置することで状況は確実に悪化していきます。そうならないためにも、できるだけ早めの治療が大切です。
- 1.強い痛みや腫れが起こる
- 歯がボロボロの状態で、今現在特に痛みを感じていないとしても、むし歯や歯周病にかかっている状態ではいつ強い痛みや腫れを起こすかわかりません。
つまり、常に爆弾を抱えているような状態だと言えます。
- 2.かみ合わせの崩壊とあごの問題が起きる
- 歯を数本失った状態や、ボロボロになった状態を放置すると、残った歯は空いたスペースに移動したり傾いてきたりします。
そうすると、かみ合わせはどんどん崩壊していき、あごの関節にも負担がかかって、あごの痛み、口が開けづらい、といった症状も起こってきます。
- 3.骨がどんどん溶けて、後の治療が難しくなる
- ボロボロになった歯は、むし歯や歯周病が進行している状態になっています。
このような歯は、歯の先端部分や歯の周囲に細菌感染を起こしやすく、それによって骨をどんどん溶かしてしまいます。骨がなくなると、後にインプラントや入れ歯の治療をしようと思っても難しくなるだけでなく、高額な骨造成手術が必要になることがあり、お身体にも費用的にも負担をかけてしまいます。
- 4.全身疾患を引き起こすことがある
- 状態の悪い歯は細菌が多く繁殖しています。そのような歯を放置していると、呼吸器や血管内に細菌が入りこみ、体のいたるところに回って、心臓病、脳梗塞、糖尿病、肺炎といった重大な病気を引き起こすこともあります。
- 5.栄養状態が悪くなり、体が弱る
- 十分に噛めない状態が続くことで、胃腸に負担がかかり、胃腸トラブルを招きやすくなるほか、やわらかいものばかり食べるようになることで栄養バランスが悪くなり、体も弱くなっていってしまいます。
- 6.見た目も脳も老けてしまう
- 歯がなくなると口元がしぼみ、実際の年齢よりも老けて見えるようになります。また、ちゃんと噛めないので脳への血流が少なくなり、認知症を発症しやすくなってしまいます。
歯がボロボロになっている場合の治療法
歯が全体的にボロボロだと、「もう総入れ歯しかない」とあきらめてしまう人もいるかもしれません。ですが、外側から見てボロボロでも、歯を抜かずに治療できるケースは多いですし、たとえ抜歯になったとしても総入れ歯にしなくて済むこともあります。
歯がボロボロになってしまっている場合、次のような治療法の選択肢があります。実際にどの治療が可能になるかは、口の中を実際に診察し、ご相談させていただきます。
むし歯治療(詰め物・被せ物)

歯根が比較的しっかりと残っている場合には、むし歯を取り除き、詰め物・被せ物をする方向で治療が可能です。
根の治療(神経の治療)

むし歯によって神経の部分が汚染されている場合には、根の中を消毒する治療が必要になります。
歯周病治療

歯が歯周病でボロボロになっている場合には、歯周病治療を行うことで、症状を改善し、進行の悪化を防ぐことができます。
抜歯

歯の崩壊が骨よりも下まで行っている場合、歯根が割れている場合、感染が重度の場合には抜歯となることもあります。
抜歯後、歯を補う治療
抜歯後は、歯を補う治療が必要になります。
歯を補う治療は、大まかに分けると次の3つの方法となります。
歯を補う治療は、大まかに分けると次の3つの方法となります。

失った歯の部分の骨に人工歯根を埋め込み、被せ物をする方法です。人工歯根は骨と強固にくっつきますのでしっかりと噛めるのが特長です。
全体的に歯がボロボロになっている場合には、片顎(上もしくは下)4本~6本のインプラントで全体的な人工歯を支える「オールオン4」が、費用も体の負担も抑えられておすすめです。
全体的に歯がボロボロになっている場合には、片顎(上もしくは下)4本~6本のインプラントで全体的な人工歯を支える「オールオン4」が、費用も体の負担も抑えられておすすめです。

失った本数が少ない場合には、失った歯の両隣の歯を削って連結した人工歯をかぶせる「ブリッジ」が可能です。使用する材料によって保険か自費に分けられます。

入れ歯はどのような状況にも対処が可能な方法です。
失った本数に応じて「部分入れ歯」または「総入れ歯」となりますが、自費の入れ歯の場合には、快適性を追求した入れ歯、審美的な入れ歯、しっかり噛める入れ歯など、ご自分の好みに合ったオーダーメイドのものを作製できます。
失った本数に応じて「部分入れ歯」または「総入れ歯」となりますが、自費の入れ歯の場合には、快適性を追求した入れ歯、審美的な入れ歯、しっかり噛める入れ歯など、ご自分の好みに合ったオーダーメイドのものを作製できます。
全体的に歯がボロボロな方におすすめの治療法「オールオン4」

総入れ歯は「外れる」「違和感が強い」「ものがしっかり噛めない」といったネガティブなイメージの強い治療法で、「入れ歯になるのは抵抗がある」と思う人もいるでしょう。
ですが、全体的に歯がボロボロでも、入れ歯以外の治療法はあります。
それが少ない本数のインプラントでしっかりと人工歯を支える「オールオン4」という治療法です。
それが少ない本数のインプラントでしっかりと人工歯を支える「オールオン4」という治療法です。
◆オールオン4とは?
オールオン4は、特殊なインプラントを埋め込むことで、少ない本数のインプラントで人工歯を支え、しっかり噛めるようになる、費用とお身体への負担を抑えた方法です。
また、埋め込んだインプラントは早い段階でしっかり固定されるので、インプラント手術をした日からきれいな仮歯を入れて、噛むことも可能です。
骨が痩せてしまっているケースでも骨を増やす治療をすることなく行えることも多いのも大きなメリットです。
骨が痩せてしまっているケースでも骨を増やす治療をすることなく行えることも多いのも大きなメリットです。
まずはご相談だけでも大丈夫です

歯がボロボロの状態で歯医者に行くのは勇気がいるかもしれません。
ですが、歯科医院には「忙しくて治療に通う時間が取れなかった」「歯科恐怖症」「どのくらい費用が掛かるのか不安」といったような理由で通院できず、同じような状況になってしまった方は多くいらっしゃいます。
ですので、
ですが、歯科医院には「忙しくて治療に通う時間が取れなかった」「歯科恐怖症」「どのくらい費用が掛かるのか不安」といったような理由で通院できず、同じような状況になってしまった方は多くいらっしゃいます。
ですので、
・恥ずかしい
・怒られたらどうしよう
・怒られたらどうしよう
といった心配は全く不要です。
またもちろん、説明もなしにいきなり削る、無理な治療計画を勧めてくる、ということもありませんので、ご安心ください。
またもちろん、説明もなしにいきなり削る、無理な治療計画を勧めてくる、ということもありませんので、ご安心ください。
まずはしっかりと状況を把握させていただき、患者さまに無理のない方法で、いかにかみ合わせを立て直してしっかり噛めるようにするか、見た目もきれいにしていくか、といったトータルプランをご提案させていただきます。
歯がボロボロでお悩みの方も、どうぞご安心ください。当院には埼玉はもちろん全国各地から、通院される患者さまがいらっしゃいます。ご遠方の方には、ご来院可能なスケジュールに合わせて治療計画を調整し、できるだけ通院回数を抑えられるよう配慮しております。
歯がボロボロでお悩みの方も、どうぞご安心ください。当院には埼玉はもちろん全国各地から、通院される患者さまがいらっしゃいます。ご遠方の方には、ご来院可能なスケジュールに合わせて治療計画を調整し、できるだけ通院回数を抑えられるよう配慮しております。
「こんな状態でも大丈夫だろうか…」とお一人で悩まず、まずはお気軽にご相談ください。
一人ひとりの状況に合わせた最適な治療をご提案いたします。
一人ひとりの状況に合わせた最適な治療をご提案いたします。
当院の治療の特徴
痛みや不安に最大限に配慮した治療

なるべく患者さまがリラックスして治療を受けていただけるよう、痛みや不安をなるべく感じさせない治療を行っておりますので、歯科恐怖症の方もご安心ください。
豊富な治療の選択肢

一般的な歯科治療から審美歯科、矯正歯科、インプラント、再生医療といった高度な歯科治療まで、幅広く歯科医療を取り扱っておりますので、お口の中をトータルで治療できます。
重度の症例にも対応が可能

通常はインプラントが不可能とされるような骨の少ないケースにも対応できるインプラント技術・設備がありますので、他院で断られた方もご相談ください。
徹底した衛生管理

院内感染が起こらないよう、徹底した衛生管理を行っております。
器具の消毒・滅菌、院内の清掃の徹底はもちろんのこと、水や空気にもこだわり、患者さまが気持ちよく通っていただける環境を整えております。
器具の消毒・滅菌、院内の清掃の徹底はもちろんのこと、水や空気にもこだわり、患者さまが気持ちよく通っていただける環境を整えております。

